Periodontal
Care for the gums and bone that support your teeth.
Bleeding, Sensitive Gums Aren’t Okay
Heal your inflamed gums and restore your oral health and comfort.
Bleeding gums. Sensitive teeth. Pain and inflammation. If you’re experiencing these symptoms, you might have gum disease, and it’s only going to get worse.
In most cases, simple corrective measures can address your gum disease and relieve your sore gums. Let our team put you on the path to healing.
Too Many People Suffer in Silence
More than half of American adults over age 30 have some form of gum disease, and many never seek treatment. But a light case of gum disease can become serious and require expert periodontal care if it’s not treated.

Gingivitis
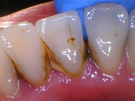
Gingivitis is a mild form of gum disease (periodontal disease) characterized by inflammation of the gums, and it’s typically caused by the buildup of plaque on teeth.
It’s marked by symptoms such as redness, swelling, and bleeding of the gums, particularly during brushing or flossing. Gingivitis is reversible with proper oral hygiene and professional dental care, but if left untreated, it can progress to more severe periodontal conditions.
Periodontitis
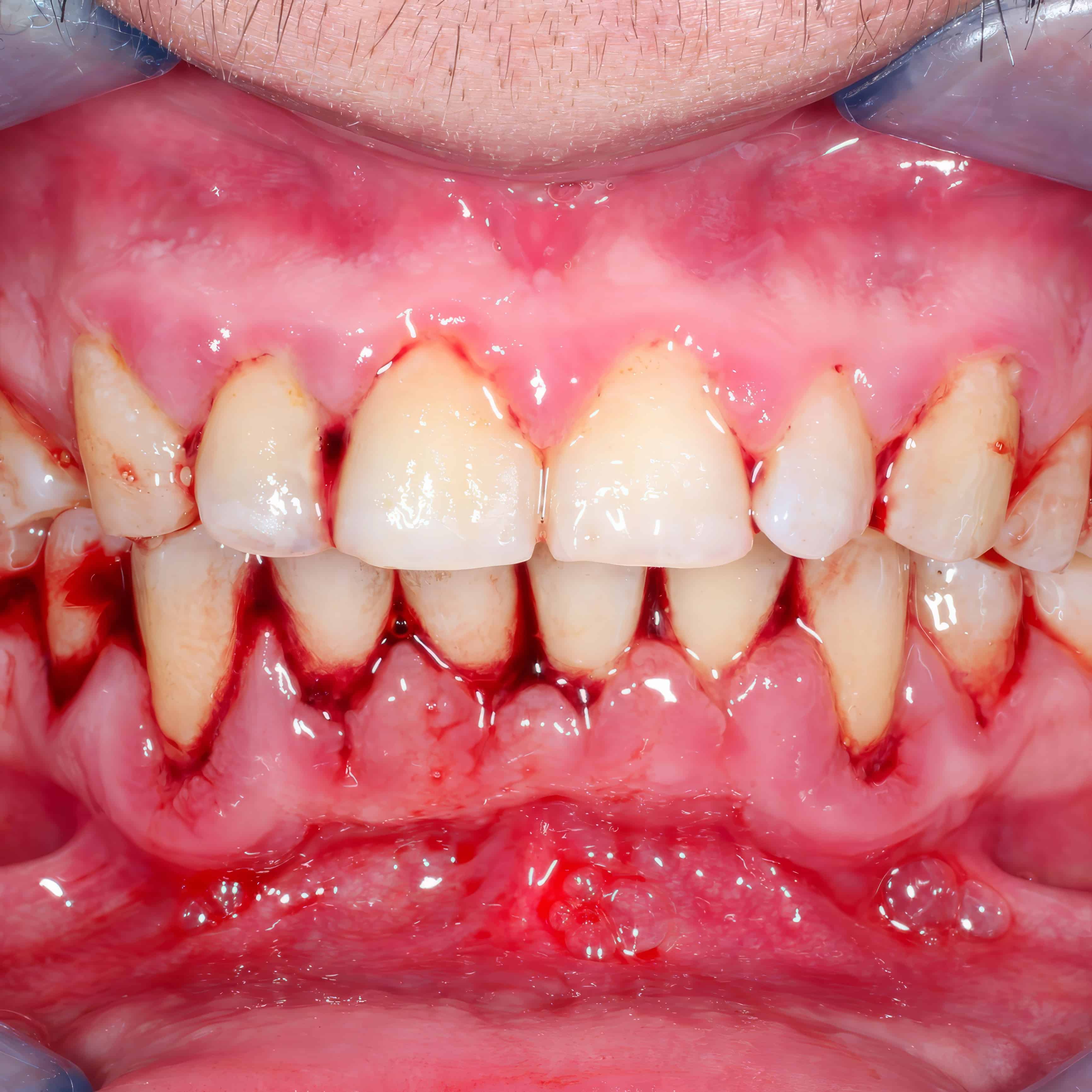
Periodontitis is a serious gum disease that results from the progression of untreated gingivitis. It’s characterized by inflammation and infection in the tissues supporting the teeth, including the gums, periodontal ligament, and alveolar bone. Over time, periodontitis can cause the gums to pull away from the teeth, forming pockets that become infected—leading to bone and tissue destruction.
Symptoms include red, swollen, or bleeding gums, persistent bad breath, loose teeth, and, in severe cases, tooth loss. Effective treatment involves deep cleaning procedures, improved oral hygiene, and sometimes surgical interventions to restore oral health.
Advanced Periodontitis
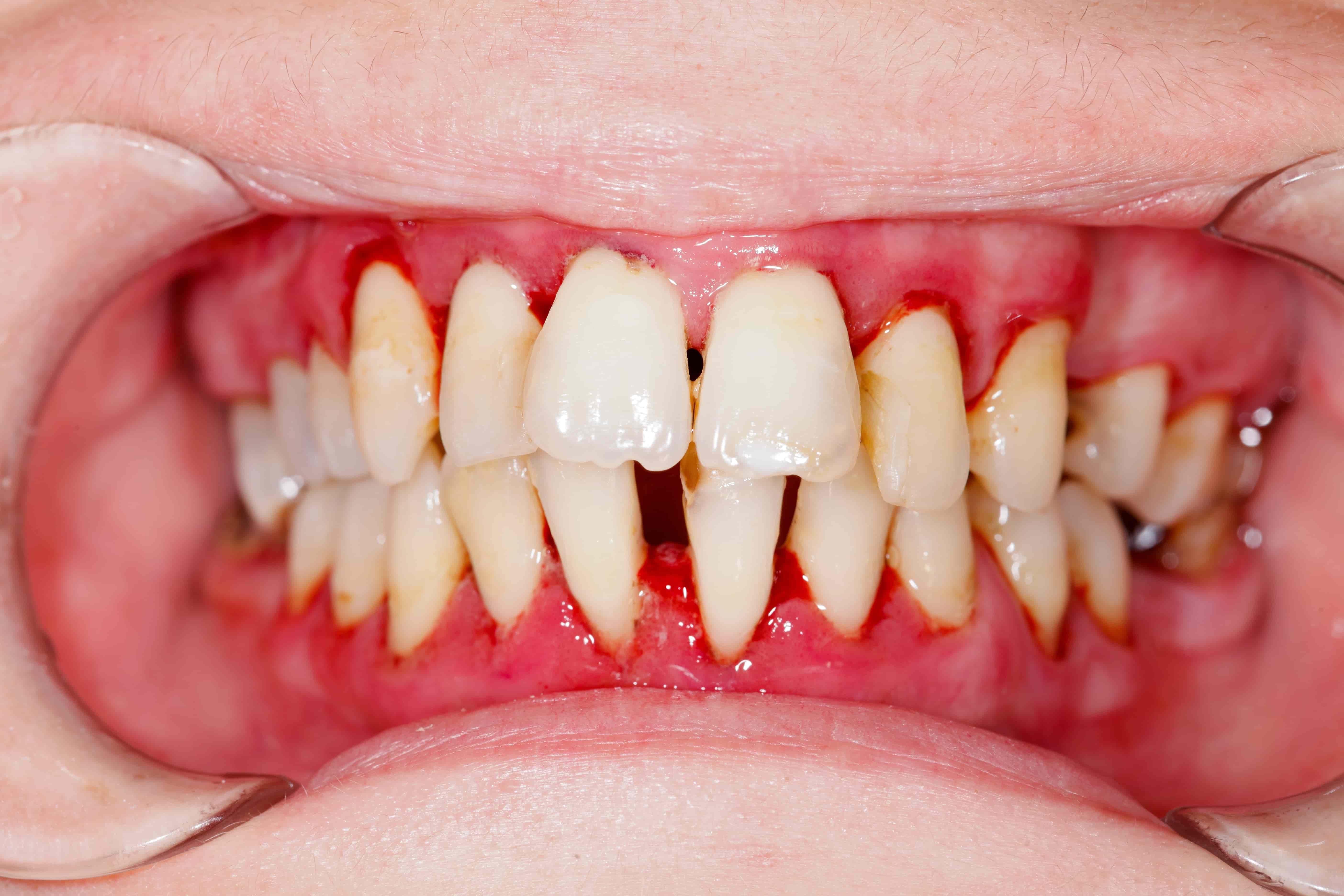
Advanced periodontitis is the most severe stage of periodontal disease, where the supporting structures of the teeth—such as the gums, periodontal ligament, and alveolar bone—are extensively damaged.
This stage is characterized by deep periodontal pockets, significant gum recession, and the loosening or shifting of teeth. Symptoms may include severe pain, persistent bad breath, pus discharge, and difficulty chewing.
Without prompt and comprehensive treatment, advanced periodontitis can lead to tooth loss and may contribute to systemic health issues such as cardiovascular disease and diabetes. Treatment often involves periodontal surgery, regenerative procedures, or tooth replacement options.
Give Your Gums and Bone the Care and Support They Need
The gums and bones that surround your teeth need special care.
Our team is specifically trained to target gum disease—even advanced cases—with the latest techniques and technology. If your periodontal disease has become critical, we’re the team to take charge of your periodontal care.

Periodontal Disease Management

Flap and Osseous Surgery

Regenerative Osseous Surgery

Plastic Periodontal Surgery
Trained in Cutting-Edge Periodontal Care
We use laser-assisted periodontal therapies—the most advanced in dental science—offering you better results and a more comfortable experience.
The LANAP® protocol is a comprehensive, regenerative approach designed to treat moderate to severe gum disease and “hopeless teeth”. Using a machine called the PerioLase MVP-7™, this is the only protocol with FDA clearance for True Regeneration™.
Laser-Assisted Therapies
- LANAP® (Laser Assisted New Attachment Procedure)
- LAPIP™ (Laser Assisted Peri-Implant Procedure), and
- LAR™ (Laser Assisted Regeneration)
Patient Benefits
- No incisions or suturing
- Less pain, bleeding, and swelling
- Minimal tissue loss and less sensitivity
- Faster post-op recovery
- Restoration of functional dentition
Our Patients Are the Best!
And we’re happy to hear they say the same about us.
Dr. Paul Yang is an excellent dentist!
Dr. Paul Yang is an excellent dentist! They are professional, kind, and made me feel comfortable throughout my visit. The clinic is clean, and the staff is very friendly. I highly recommend Dr. Paul Yang for great dental care!
I’m happy and very satisfied thank you !
I usually don’t leave reviews , but with the service I received I had to. I originally found Dr. Yang on yelp and saw ratings and thought why not give it a go. I love the way the reception and he took care of me. The place was warm and welcoming making it comfortable and easing any anxiety. I’m happy and very satisfied thank you !
Frequently Asked Questions About Periodontics
If you’re experiencing any of the following symptoms, you likely have gum disease and should book an appointment with us immediately:
- Red, swollen, or tender gums or other pain in your mouth
- Bleeding while brushing, flossing, or when eating certain foods
- Gums that are receding or pulling away from the teeth, causing the teeth to look longer than before
- Loose or separating teeth
- Pus between your gums and teeth
- Sores in your mouth
- Persistent bad breath
- A change in the way your teeth fit together when you bite
- A change in the fit of partial dentures
Plaque is the sticky, colorless film that forms on your teeth (unless you brush it away). Bacteria live in the plaque and cause tooth decay and irritate gum tissue. If plaque is not removed regularly by tooth brushing and flossing, it hardens to create calculus (also known as tartar). Calculus cannot be removed with a toothbrush; only a dental professional can remove it during an oral cleaning.
Brushing twice per day and flossing once every day help keep plaque at bay so it doesn’t form calculus and cause gingivitis. Regular dental exams help nip gum disease problems in the bud before they become serious.
Gum disease or gingivitis in children is rare, but it does occur. It’s more likely to develop in adults and adolescents. But if you establish good oral hygiene habits when they’re young, your children are less likely to develop gum disease as they reach adulthood.
There’s a long-established connection between gum disease and other systems in the body. Research in this area is ongoing, and studies have indicated that conditions such as heart disease and diabetes may be linked to gum disease.
